Este Blog tem como objectivo a partilha de informação técnica e médica no campo da Neurorradiologia. Destina-se a todos os que estiverem dispostos a visita-lo. Aqui vão ser apresentados casos interessantes,todos com uma breve descrição técnica e com alguma informação clínica. Dedico este Blog, de uma forma geral, a todos os meus colegas(Técnicos de Radiologia),e em particular ao Serviço de Neurorradiologia do H.G.O. Tec.Luis Pereira
segunda-feira, 22 de novembro de 2010
quarta-feira, 3 de novembro de 2010
sábado, 9 de outubro de 2010
segunda-feira, 12 de julho de 2010
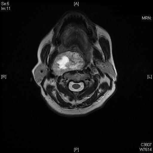
Schwanoma
Doente do sexo femenino de 59 anos, com massa volumosa massa do espaço parafaríngeo.
Protocolo:
Coronal Stir e T1 SE
Axial T1 SE e T2 FSE
Angio-RM Smart Prep após Gadolíneo
Coronal e Axial T1 SE Fat Sat
Schwanoma parafaríngeo direito que contacta e desvia lateralmente a artéria carótida interna e a veia jugular dta.
Téc. Luis Pereira/ Dr. Paulo Saraiva
sexta-feira, 12 de março de 2010
DISSEÇÃO DA ARTÉRIA CARÓTIDA ESQUERDA



Doente do sexo masculino de 48 anos de idade com quadro de cefaleia hemicraniana esquerda com 3 semanas de evolução e Sidroma de Horner.
Realizou-se estudo cranio-encefálico por RM (Axial T2 FSE; Axial T2 FLAIR e Axial Difusão), que revelou uma disseção da artéria carótida esquerda.
Tec. Luis Pereira/Dra. Sandra Matias
Subscrever:
Comentários (Atom)



